
2 min read
Dozunda Keyifin Fazlası Zarar
Çok kahve içmenin ne gibi zararları olabilir, hiç düşündünüz mü?
SÖ
Sena Ören

Çok kahve içmenin ne gibi zararları olabilir, hiç düşündünüz mü?

Siz de iş yerinde mobbing'e uğruyor olabilir misiniz?

The Hidden Struggles of Always Meeting Expectations As A Child

When Daydreaming Becomes a Trap

Zihin ve beden arasındaki beklenmedik dans.

Bazı insanlar, normalde yenmesi beklenmeyen maddelere karşı karşı konulamaz bir istek duyabilir.

Ruhani Bir Yolculuğun Tarihçesi

Klasik narsisizmin gizli türü: Örtük Narsisizm.

Öyküsel terapi, yaşam öyküsünün farklı bir perspektifle yeniden yazılmasıdır.

"Şafak ne kadar yakınsa gece de o kadar karanlık olur"

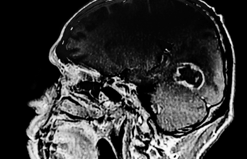
Beynimizdeki sessiz işgalci

Toplumun istediği gibi yaşamak.